矮小歯症例で最大の効果を出すラミネートベニア
矮小歯(先天的に小さく形成された歯)は、審美性・バランスの面から、特に女性患者の悩みにつながりやすい症例です。
-
笑ったときに幼く見える
-
左右差が気になる
-
写真写りが悪い
-
歯列全体がアンバランスに見える
このような相談は多く、歯列矯正では「形」を改善できないため、満足度の高い治療方法が限られています。
このような症例において高い効果を発揮するのが、極小切削で行えるラミネートベニア(シンベニア)です。
ただし審美性・透明感・口元全体の調和には歯科医師と技工士の連携が極めて重要であり、その結果は技工ステップに大きく左右されます。
本記事では、矮小歯のベニア治療を成功させるための臨床ポイントと、Mセラミック工房が実践している技工工程・症例写真 をまとめました。
もくじ
「写真写りが変わる」ラミネートベニアの影響力
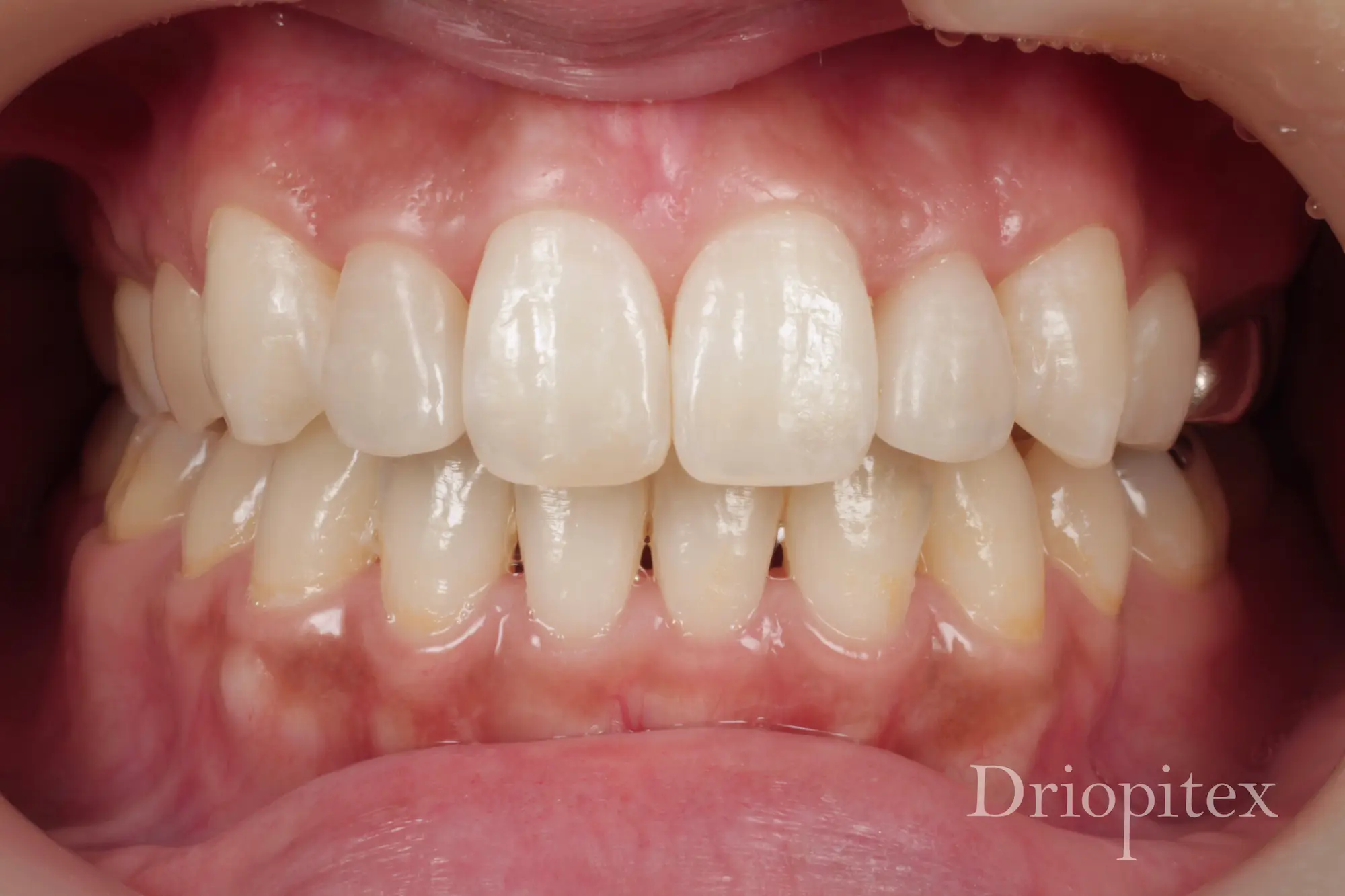
矮小歯ベニアは、患者の満足度が極めて高い補綴のひとつです。
その象徴的な例として、私自身の妻も矮小歯のベニア修復を行っています。
「自分の笑顔の写真を見返すと、歯が抜けているように見える」というのが、妻の悩みでした。
治療後、本人が最も喜んだのは「写真写りが劇的に変わったこと」 でした。
-
優しい輪郭の前歯へ
-
歯列全体のバランスが向上
-
笑顔が自然に見える
家族であっても驚くほど、笑顔の印象に大きな変化がありました。
矮小歯ベニアが多くの女性患者に喜ばれる理由は、ここにあります。
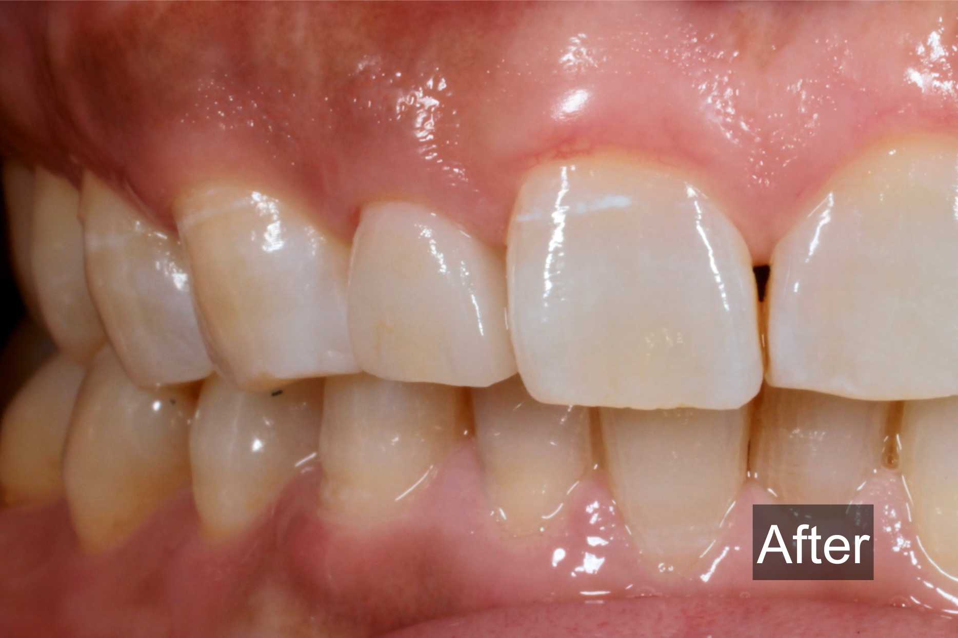
症例紹介(Before → After)
【症例概要】
-
主訴:左右側切歯の矮小歯
-
状況:歯列全体のバランスが気になる
-
設計:無切削〜極小切削のラミネートベニア
-
仕上げ:隣在歯と自然に溶け込む色・形態・透明感を重視
術後は歯列全体の調和が改善し、自然な笑顔に大きく寄与した症例です。
切削量はどれくらい必要か?
矮小歯は “ほぼ切削ゼロ” の適応も可能
一般的なラミネートベニアの切削量は 0.3〜1.0mm。
しかし矮小歯は、もともと「形態が足りない」症例です。
-
ほぼ無切削
-
またはごく微量の切削
で十分適応できるケースが多くあります。
「接着性を高めるため」および「アンダーカット処理のため」の切削が主です。
これは 歯質の保存・神経温存・痛みの軽減 に直結し、患者にとっても大きなメリットとなります。
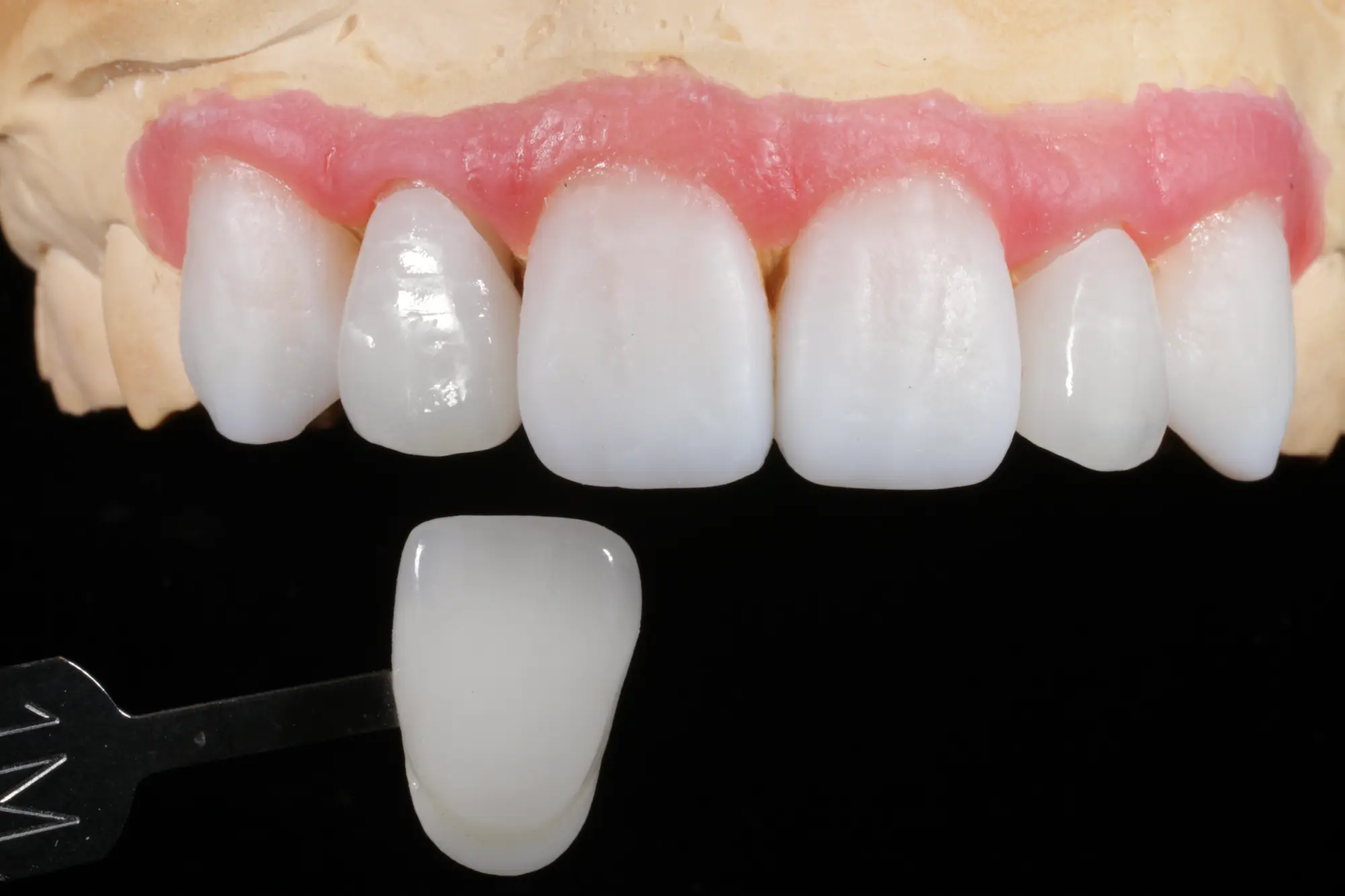
審美性を最大化するための技工ステップ
ここからは、Mセラミック工房が実際に行っている製作工程を紹介します。
① 表面性状(テクスチャー)を金属粉で可視化して確認
ベニアは極めて薄いため、
表面の微細なディテールが光の反射に大きく影響します。
そのため当工房では、
表面に金属粉を薄く塗布し、凹凸を視覚化する工程を行っています。
この工程により、
-
光沢
-
質感
-
表層の透明感
が天然歯のそれに極めて近づきます。
② 色調安定のため「シミュレーション模型」を製作
ラミネートベニアは、支台歯や周囲の歯の色の影響を受けやすいため、必要に応じて口腔内の色調・形態を再現したシミュレーション模型を事前に製作します。
これにより、
-
色が浮かない
-
隣在歯と馴染む
-
術者自身が完成イメージを把握しやすい
といった効果が得られます。
③ 支台歯形成の「無料シミュレーション」も提供
“削る量” の判断は症例により微妙に異なります。
そのため当工房では、必要に応じて
無料で支台歯形成のシミュレーションを行っています。
-
削る位置の提案
-
無切削で可能かどうか
-
マージンラインの最適化
-
最終形態の想定
こうした事前確認が、セット時の適合や審美性を大きく高めます。
矮小歯ベニアの成功は『資料の質』と『連携』で決まる
矮小歯のベニアは、低侵襲なのに変化量が大きい補綴です。
成功の鍵は、歯科医師・技工士間の情報共有にあります。
必要資料の例:
-
十分な情報量の写真(正面・側面・斜位)
-
クリスタルアイやツインストロボを用いた正確なシェードテイク
-
咬合状態の情報
-
スマイルライン写真
-
顔貌写真
- 形成前の参考模型
これらの資料が揃うほど、完成形が明確に共有でき、セット時の調整時間も大幅に減少します。
まとめ
矮小歯のラミネートベニアは、
-
切削量が最小限
-
自然な歯列バランスが得られる
-
短期間で審美改善が可能
-
患者満足度が非常に高い
という点から、臨床に非常に適した治療法です。
Mセラミック工房では、
-
表面ディテールの可視化(金属粉チェック)
-
色調再現模型
-
形成設計の無料シミュレーション
-
写真による色調解析
-
充実した術前資料共有
といったサポート体制を整えております。
【新規受注のご案内】
矮小歯症例や審美領域のラミネートベニアをご検討の先生へ。
症例相談は随時受け付けております。
👉 チャットで応答できる『公式LINE』はこちら
👉 症例相談『メールフォーム』はこちら
👉 『初めての医院様へ(お取引の始め方)』はこちら
「まずは形成の相談だけしたい」という医院様も、お気軽にお問い合わせください。
LINEを使って歯科技工所Mセラミック工房に直接相談できます。
歯科医師や歯科技工士の方はもちろん、歯科医療に関係する方ならどなたでもお気軽に!








コメント
この記事へのコメントはありません。
この記事へのトラックバックはありません。